Oglasi - Advertisement

Današnje izdanje članka posvećujemo otkrivanju zbog čega se afte najčešće pojavljuju i šta ih pokreće. Iako predstavljaju čestu i naizgled bezazlenu pojavu, mnogima stvaraju veliku nelagodu, pa je korisno razumjeti kako nastaju, šta ih izaziva i na koje načine se mogu ublažiti.

U nastavku saznajte šta sve utiče na razvoj ovih sitnih ranica u usnoj šupljini i koje mjere mogu pomoći da njihovo zacjeljivanje bude brže i jednostavnije.

Sadržaj se nastavlja ispod oglasa

Afte, koje se često nazivaju i aftozni ulkusi, zapravo su male, plitke ranice koje se javljaju na sluznici usta. Najčešće se pojavljuju unutar usana, na jeziku, desnima ili nepcu. Iako ne predstavljaju ozbiljnu opasnost za zdravlje i ne ostavljaju dugoročne posljedice, mogu biti vrlo neugodne zbog bola koji izazivaju. Ovaj bol često otežava svakodnevne aktivnosti, kao što su govor, konzumacija hrane ili čak žvakanje. Važno je naglasiti da afte nisu zarazne, što znači da se ne mogu prenijeti s osobe na osobu, a razlikuju se od herpesnih promjena koje nastaju kao posljedica virusne infekcije.

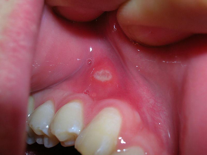
  • Afte obično počinju kao sitne bijele ili žućkaste ranice okružene crvenim rubom. Iako najčešće ostaju malih dimenzija, ponekad mogu narasti i do nekoliko centimetara, što dodatno pojačava bol. Prema dostupnim informacijama, njihova pojava najčešća je na unutrašnjoj strani usana, na jeziku, desnima i ispod jezika. U većini slučajeva, obične afte prolaze spontano u roku od sedam dana, bez potrebe za posebnim tretmanom. Međutim, postoje i teže forme koje mogu trajati duže i ostavljati jači osjećaj nelagode.

Iako tačan uzrok nastanka afti nije naučno potvrđen, prepoznati su brojni faktori koji mogu doprinijeti njihovom razvoju. Među najčešćim okidačima navode se stres, manje povrede sluznice, konzumacija određene hrane, kao i reakcije na pojedine lijekove. Hrana koja je kisela, slana ili jako začinjena može iritirati sluznicu i potaknuti pojavu ranica. Osim toga, neke osobe reagiraju na nesteroidne protuupalne lijekove poput ibuprofena, što također može utjecati na razvoj afti. Iako se ponekad miješaju s herpesnim ranicama, važno je zapamtiti da afte nisu virusnog porijekla i ne mogu se prenositi kontaktom.

Afte se nešto češće javljaju kod tinejdžera i mlađih odraslih, posebno onih u dvadesetim godinama. Stručnjaci ističu da žene imaju veću sklonost ka njihovoj pojavi, što se povezuje s hormonskim promjenama. Osim toga, pojava afti može biti povezana i s određenim zdravstvenim stanjima, kao što su celijakija, ulcerozni kolitis, Crohnova bolest, lupus ili Behcetova bolest. Nedostatak određenih vitamina i minerala — prije svega vitamina B12, folne kiseline, željeza i cinka — također može povećati rizik od razvoja ranica.

Simptomi afti uključuju pojavu jedne ili više bolnih ranica koje su najčešće bijele, žute ili sivkaste boje, okružene crvenilom. Prije nego što se pojave, mnogi primjećuju osjećaj peckanja ili žarenja na određenom dijelu sluznice. U težim slučajevima, kod nekih osoba mogu se javiti i drugi simptomi poput povišene temperature, umora ili uvećanih limfnih čvorova. Iako afte najčešće prolaze same od sebe, postoje načini da se bol ublaži i da proces zacjeljivanja bude brži.

Za ublažavanje nelagode mogu se koristiti lokalni anestetici kao što je benzokain, koji smanjuje bol na područjima gdje se afte nalaze. Također se preporučuju ispiranja usta rastvorom vodikovog peroksida, dok se u težim slučajevima primjenjuju kortikosteroidne masti koje smanjuju upalu. Ipak, većina afti ne zahtijeva poseban medicinski tretman jer sluznica ima sposobnost brzog oporavka.

Prevencija pojave afti temelji se na jednostavnim koracima. Iako ih nije moguće potpuno izbjeći, moguće je smanjiti njihovu učestalost. Preporučuje se izbjegavanje hrane koja iritira sluznicu, održavanje dobre oralne higijene te korištenje mekane četkice za zube. Uravnotežena prehrana bogata vitaminima i mineralima također ima značajnu ulogu. Uz to, tehnike smanjenja stresa — poput dubokog disanja, šetnje ili meditacije — mogu doprinijeti tome da afte postanu rjeđa pojava.

Ako afte postanu česte, velike, izrazito bolne ili traju duže od dvije sedmice, preporučljivo je obratiti se liječniku. Stručna procjena može pomoći da se isključe ozbiljniji zdravstveni problemi i odredi da li je potrebna dodatna terapija. U slučajevima u kojima ranice ometaju osnovne funkcije poput jedenja, govora ili pijenja, najbolje je potražiti savjet stomatologa ili liječnika kako bi se odredio odgovarajući tretman.

POKLANJAMO TI KNJIGU BESPLATNO!

Upiši svoj email i preuzmi knjigu "Astrologija nije bauk"! Zaviri u tajanstveni svijet zvijezda i otkrij kako zvjezdana magija može promijeniti tvoj pogled na sebe i svijet oko tebe!

Jedan klik te dijeli od tvoje knjige i novih spoznaja!

Preporučujemo

LEAVE A REPLY

Please enter your comment!
Please enter your name here