U danasnjem clanku govorimo o jednostavnoj i prirodnoj metodi koja je u posljednje vrijeme postala veoma popularna među ljudima koji žele zdraviji i blistaviji osmijeh bez skupih tretmana. Mnogi se svakodnevno suočavaju s problemom kamenca na zubima, a često nisu svjesni da rješenje može biti bliže nego što misle.
Kamenac na zubima nastaje kada se naslage plaka, koje se redovno stvaraju u ustima, ne uklone pravilnom higijenom. Vremenom se te naslage stvrdnu i pretvore u tvrd sloj koji se lijepi za površinu zuba i desni. Upravo taj sloj može uzrokovati niz problema, od neuglednog izgleda do ozbiljnijih zdravstvenih komplikacija poput upale desni.
Ono što posebno zabrinjava jeste činjenica da se kamenac ne može ukloniti običnim četkanjem zuba. Zbog toga mnogi traže alternativne metode koje mogu pomoći u njegovom ublažavanju ili djelimičnom uklanjanju. Jedna od metoda o kojoj se sve više govori jeste korištenje prirodne smjese koja se drži u ustima određeno vrijeme.
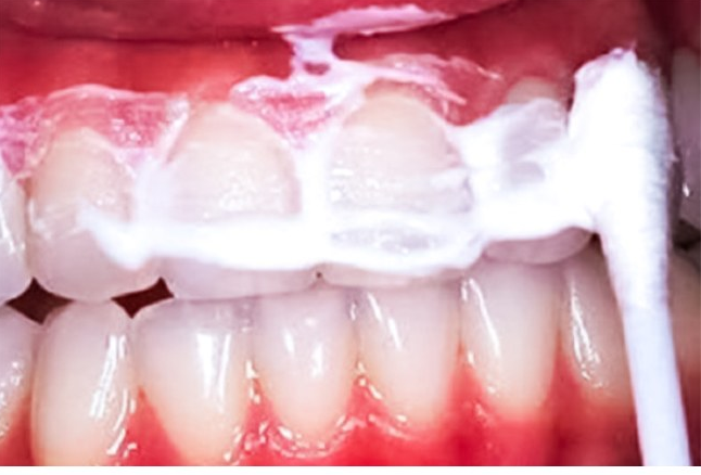
Ova metoda podrazumijeva pripremu jednostavne smjese od sastojaka koje većina ljudi ima kod kuće. Najčešće se koristi kombinacija sode bikarbone i malo limunovog soka ili vode. Soda bikarbona poznata je po svojim blagim abrazivnim svojstvima, dok limun ima prirodna svojstva izbjeljivanja i osvježavanja daha.
Postupak je vrlo jednostavan. Smjesa se lagano rasporedi po zubima i zadrži u ustima oko 60 sekundi. Tokom tog vremena dolazi do djelovanja na površinske naslage, što može pomoći u njihovom omekšavanju i djelimičnom uklanjanju. Nakon toga, preporučuje se temeljito ispiranje usta i nježno četkanje zuba.
Važno je naglasiti nekoliko stvari koje mnogi zanemaruju:
Ova metoda nije zamjena za profesionalno čišćenje kod stomatologa
Ne treba je koristiti prečesto kako se ne bi oštetila zubna caklina
* Najbolje rezultate daje kao dodatak redovnoj oralnoj higijeni
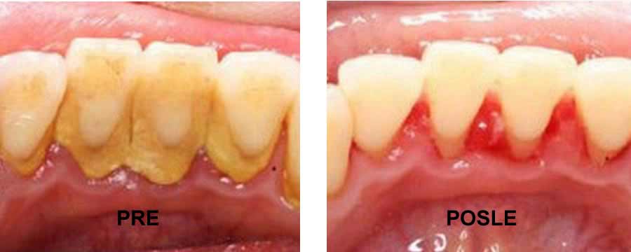
Mnogi koji su isprobali ovu metodu tvrde da su primijetili razliku već nakon nekoliko korištenja. Zubi djeluju čišće, glađe i svježije, a osjećaj u ustima je znatno prijatniji. Ipak, treba biti realan – tvrdokorni kamenac koji se godinama nakuplja neće nestati preko noći.
Osim ove metode, postoje i druge prirodne navike koje mogu pomoći u sprječavanju nastanka kamenca. Redovno pranje zuba najmanje dva puta dnevno, korištenje konca za zube i ispiranje usne šupljine odgovarajućim sredstvima igraju ključnu ulogu u očuvanju zdravlja zuba.
Takođe, ishrana ima veliki utjecaj. Hrana bogata šećerima i kiselinama doprinosi stvaranju plaka, dok konzumacija svježeg voća i povrća može pomoći u prirodnom čišćenju zuba. Posebno se izdvajaju jabuke i mrkva koje svojim vlaknastim sastavom djeluju poput prirodne četkice.
Jedna od čestih grešaka koju ljudi prave jeste odlaganje odlaska stomatologu. Mnogi čekaju da se problem pogorša, što može dovesti do bolova, krvarenja desni i ozbiljnijih komplikacija. Redovni pregledi omogućavaju pravovremeno uklanjanje kamenca i sprječavanje većih problema.
Treba imati na umu da je **oralno zdravlje direktno povezano sa opštim zdravljem organizma**. Problemi u ustima mogu utjecati na srce, probavni sistem i cjelokupno stanje tijela. Upravo zbog toga je važno posvetiti pažnju svakodnevnoj higijeni i koristiti provjerene metode.
Ova smjesa može biti koristan saveznik u borbi protiv naslaga, ali samo ako se koristi pravilno i umjereno. Njen najveći benefit je u tome što je dostupna, jednostavna za pripremu i ne zahtijeva posebne troškove.
Na kraju, najvažnije je pronaći balans između prirodnih metoda i stručne njege. Kombinacija pravilne higijene, zdravih navika i povremenih pregleda kod stomatologa najbolji je put ka zdravim i lijepim zubima.

Jer osmijeh nije samo estetski detalj – on je odraz brige o sebi i svom zdravlju.









